Leczenie stomatologiczne to szeroki temat, który obejmuje wiele różnych procedur i technik mających na celu poprawę zdrowia jamy ustnej. W ramach tego leczenia lekarze dentyści zajmują się zarówno profilaktyką, jak i terapią schorzeń zębów oraz dziąseł. Kluczowym elementem jest regularne wykonywanie przeglądów stomatologicznych, które pozwalają na wczesne wykrycie problemów, takich jak próchnica czy choroby przyzębia. W przypadku wystąpienia bólu zęba lub innych dolegliwości, pacjenci powinni jak najszybciej udać się do dentysty, aby uniknąć poważniejszych komplikacji. Leczenie stomatologiczne może obejmować różnorodne zabiegi, takie jak wypełnienia, leczenie kanałowe, ekstrakcje zębów czy zakładanie koron i mostów. Ważnym aspektem jest również estetyka uśmiechu, co prowadzi do coraz większej popularności zabiegów kosmetycznych, takich jak wybielanie zębów czy ortodoncja.
Jakie są najczęstsze problemy stomatologiczne u pacjentów
Wśród najczęstszych problemów stomatologicznych można wymienić próchnicę, która dotyka znaczną część populacji. Jest to choroba bakteryjna prowadząca do demineralizacji szkliwa zębowego, co skutkuje powstawaniem ubytków. Kolejnym powszechnym schorzeniem są choroby przyzębia, które mogą prowadzić do utraty zębów, jeśli nie są odpowiednio leczone. Objawy tych chorób często obejmują krwawienie dziąseł oraz ich obrzęk. Warto również zwrócić uwagę na problem nadwrażliwości zębów, który może być spowodowany różnymi czynnikami, takimi jak recesja dziąseł czy erozja szkliwa. Pacjenci często skarżą się także na bóle zębów związane z zapaleniem miazgi lub innymi schorzeniami wewnętrznymi. W przypadku dzieci szczególnie istotne jest monitorowanie rozwoju uzębienia oraz wczesne wykrywanie problemów ortodontycznych.
Jakie są nowoczesne metody leczenia stomatologicznego

Nowoczesne metody leczenia stomatologicznego znacznie różnią się od tradycyjnych podejść i oferują pacjentom większy komfort oraz efektywność. Jednym z najnowszych osiągnięć w tej dziedzinie jest zastosowanie technologii cyfrowych, takich jak skanery 3D oraz drukarki 3D do tworzenia precyzyjnych modeli zębów i protez. Dzięki tym technologiom możliwe jest szybsze i dokładniejsze planowanie leczenia oraz minimalizacja błędów w wykonaniu prac protetycznych. Innym innowacyjnym rozwiązaniem jest wykorzystanie lasera w leczeniu chorób przyzębia oraz podczas zabiegów chirurgicznych, co pozwala na szybsze gojenie się tkanek oraz mniejsze krwawienie. Stomatologia estetyczna również korzysta z nowoczesnych materiałów kompozytowych i ceramiki, które zapewniają naturalny wygląd uzupełnień protetycznych. Warto również wspomnieć o telemedycynie w stomatologii, która umożliwia konsultacje online oraz monitorowanie stanu zdrowia pacjentów na odległość.
Jakie są zalety regularnych wizyt u dentysty
Regularne wizyty u dentysty przynoszą wiele korzyści zarówno dla zdrowia jamy ustnej, jak i ogólnego samopoczucia pacjentów. Przede wszystkim pozwalają na wczesne wykrycie problemów zdrowotnych, co może zapobiec poważniejszym schorzeniom w przyszłości. Dentysta podczas przeglądów ocenia stan zębów i dziąseł oraz wykonuje profesjonalne czyszczenie, które eliminuje płytkę nazębną i kamień nazębny. Dzięki temu można uniknąć chorób przyzębia oraz próchnicy. Regularne wizyty pomagają również w utrzymaniu estetyki uśmiechu poprzez kontrolowanie stanu wybielania zębów czy ortodoncji. Dodatkowo lekarze dentyści mogą udzielać cennych wskazówek dotyczących higieny jamy ustnej oraz diety wpływającej na zdrowie zębów. Osoby regularnie odwiedzające dentystę często czują się pewniej i mniej zestresowane w sytuacjach związanych z leczeniem stomatologicznym.
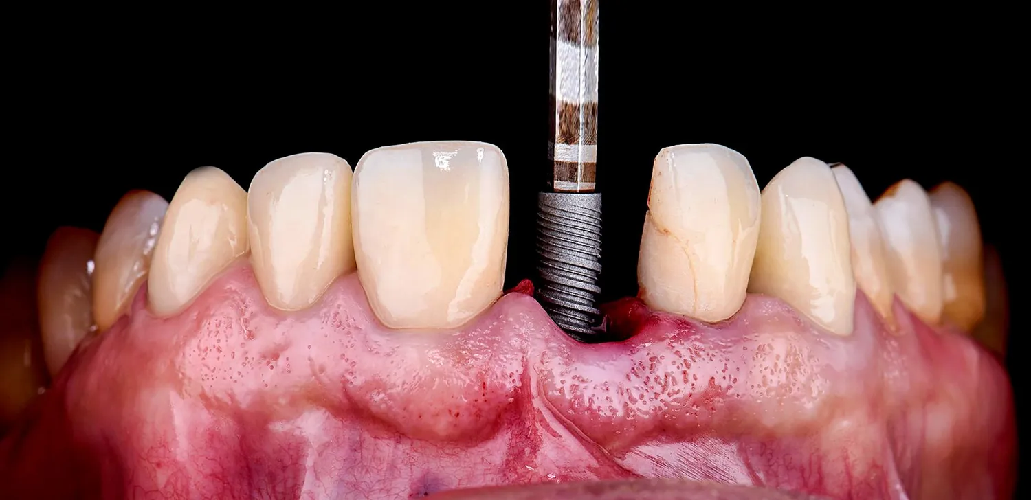
Jakie są najnowsze technologie w stomatologii
Najnowsze technologie w stomatologii rewolucjonizują sposób, w jaki lekarze dentyści diagnozują i leczą pacjentów. Jednym z najbardziej znaczących osiągnięć jest rozwój obrazowania cyfrowego, które pozwala na uzyskanie wysokiej jakości zdjęć rentgenowskich przy znacznie mniejszej dawce promieniowania. Dzięki temu lekarze mogą dokładniej ocenić stan zębów oraz tkanek otaczających. Kolejnym innowacyjnym rozwiązaniem jest zastosowanie systemów CAD/CAM, które umożliwiają projektowanie i produkcję uzupełnień protetycznych w gabinecie dentystycznym. To znacząco skraca czas oczekiwania na wykonanie protez czy koron, a także zwiększa ich precyzję. Warto również zwrócić uwagę na rozwój materiałów stomatologicznych, takich jak kompozyty o wysokiej estetyce czy ceramika, które są bardziej trwałe i odporne na uszkodzenia. Technologia laserowa staje się coraz bardziej popularna w leczeniu schorzeń przyzębia oraz w zabiegach chirurgicznych, co pozwala na minimalizację bólu i szybsze gojenie tkanek.
Jakie są zalecenia dotyczące higieny jamy ustnej
Higiena jamy ustnej odgrywa kluczową rolę w utrzymaniu zdrowych zębów i dziąseł, dlatego ważne jest przestrzeganie kilku podstawowych zasad. Przede wszystkim należy myć zęby co najmniej dwa razy dziennie pastą zawierającą fluor, aby skutecznie usuwać płytkę nazębną i zapobiegać próchnicy. Należy również pamiętać o używaniu nici dentystycznej lub szczoteczek międzyzębowych, które pomagają w usuwaniu resztek pokarmowych z trudno dostępnych miejsc. Regularne stosowanie płynów do płukania jamy ustnej może dodatkowo wspierać walkę z bakteriami i świeżość oddechu. Ważnym elementem higieny jamy ustnej jest także zdrowa dieta bogata w witaminy i minerały, które wspierają zdrowie zębów. Ograniczenie spożycia cukrów oraz kwasów pomoże zmniejszyć ryzyko wystąpienia próchnicy.
Jakie są koszty leczenia stomatologicznego
Koszty leczenia stomatologicznego mogą się znacznie różnić w zależności od rodzaju zabiegu oraz lokalizacji gabinetu dentystycznego. W przypadku podstawowych usług, takich jak przegląd czy czyszczenie zębów, ceny są zazwyczaj przystępne i mogą wynosić od kilkudziesięciu do kilkuset złotych. Leczenie próchnicy poprzez wypełnienia może kosztować od około stu do kilku setek złotych, w zależności od użytego materiału oraz skomplikowania zabiegu. Bardziej zaawansowane procedury, takie jak leczenie kanałowe czy ekstrakcje zębów mądrości, mogą wiązać się z wyższymi kosztami, często przekraczającymi kilkaset złotych. W przypadku zabiegów estetycznych, takich jak wybielanie zębów czy zakładanie aparatów ortodontycznych, ceny mogą być znacznie wyższe i wynosić nawet kilka tysięcy złotych.
Jakie są najczęstsze mity dotyczące stomatologii
Wokół stomatologii krąży wiele mitów, które mogą wpływać na postrzeganie leczenia stomatologicznego przez pacjentów. Jednym z najpopularniejszych mitów jest przekonanie, że wizyty u dentysty są zawsze bolesne i nieprzyjemne. W rzeczywistości współczesna stomatologia korzysta z różnych metod znieczulenia oraz technologii minimalizujących ból podczas zabiegów. Innym powszechnym mitem jest to, że tylko dzieci powinny chodzić do dentysty regularnie. Dorosłym również zaleca się regularne wizyty kontrolne, aby uniknąć poważniejszych problemów zdrowotnych w przyszłości. Niektórzy ludzie wierzą także, że jeśli nie czują bólu ani nie widzą problemu ze swoimi zębami, to nie muszą odwiedzać dentysty. Niestety wiele schorzeń rozwija się bezobjawowo i może prowadzić do poważnych komplikacji zdrowotnych. Kolejnym mitem jest przekonanie, że wybielanie zębów niszczy szkliwo – przy odpowiednich technikach i materiałach zabieg ten jest bezpieczny dla zdrowia zębów.
Jakie są zalety korzystania z usług dentystów specjalistów
Korzystanie z usług dentystów specjalistów ma wiele zalet, które mogą znacząco wpłynąć na jakość leczenia pacjentów. Specjaliści tacy jak ortodonci, periodontolodzy czy endodonci posiadają zaawansowaną wiedzę oraz umiejętności w swoich dziedzinach, co pozwala im skuteczniej diagnozować i leczyć skomplikowane problemy zdrowotne związane z jamą ustną. Na przykład ortodonta specjalizuje się w korekcji wad zgryzu i ustawienia zębów, co może poprawić zarówno funkcjonalność uzębienia, jak i estetykę uśmiechu pacjenta. Z kolei periodontolog koncentruje się na chorobach dziąseł oraz tkanek otaczających zęby, co jest kluczowe dla zachowania zdrowia jamy ustnej na dłużej. W przypadku bardziej skomplikowanych zabiegów endodontycznych związanych z leczeniem kanałowym warto udać się do specjalisty posiadającego odpowiednie doświadczenie oraz sprzęt medyczny.
Jakie są najważniejsze wskazówki dla pacjentów przed wizytą u dentysty
Przygotowanie się do wizyty u dentysty może pomóc pacjentom poczuć się bardziej komfortowo i pewnie podczas zabiegu. Przede wszystkim warto spisać wszystkie pytania lub obawy dotyczące stanu zdrowia jamy ustnej przed wizytą – to pomoże lekarzowi lepiej zrozumieć potrzeby pacjenta oraz dostosować plan leczenia do jego oczekiwań. Należy również zebrać informacje o dotychczasowym leczeniu stomatologicznym oraz ewentualnych alergiach na leki lub materiały używane w trakcie zabiegów. Pacjenci powinni unikać jedzenia ciężkostrawnych posiłków tuż przed wizytą oraz zgłosić lekarzowi wszelkie dolegliwości zdrowotne lub przyjmowane leki – to pomoże uniknąć ewentualnych komplikacji podczas zabiegu. Warto także pamiętać o tym, aby przybyć na wizytę kilka minut wcześniej – pozwoli to na spokojne wypełnienie niezbędnych dokumentów oraz oswojenie się ze środowiskiem gabinetu dentystycznego.




